상복부검진HOME > 진료과목 > 상복부검진
Total 21건 2 페이지
상복부검진 목록
  • 소리 없이 찾아오는 침묵의 암이라 불리는 담도암, 담관암
  • 등록일 2025-09-15 11:18:29
  • 담도암은 국내 10대 암에 속하는 암입니다.당남과 담도암 발생 건수에서 남녀를 합친 연령대별로 살펴보면 70대가 36.3%로 가장 많았고, 60대가 24.7% 80대 이상이 24.1% 순으로 결과적으로 나이가 들면서 발생하는 암입니다.담도암이 발생하는 명확한 원인은 참…
  • 복통, 고열, 복막 농양, 대장게실염, 맹장염, 복부초음파, 탈장수술
  • 등록일 2025-09-25 11:51:57
  • 입으로부터 항문까지 연결되어 있는 소화기관은 음식물을 받아들여서 영양성분으로 분해(소화의 한 과정)하고, 영양성분을 혈류 안으로 흡수하며, 신체로부터 소화되지 않은 음식물을 제거하는 기능을 담당합니다.소화관은 다음과 같은 부분으로 이루어집니다. 소화기관에는 소…
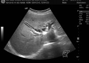
  • 췌장에 혹, 간 낭종, 상복부 초음파
  • 등록일 2025-12-01 07:38:59
  •  복부는 배를 말하는 의학용어입니다.의학용어는 쉬운 말도 어렵게 하지요?상복부라는 뜻은 바꿔 말하면 배의 윗부분을 말하는 것입니다.하복부는 배의 아랫부분이 되겠지요. 왜 복부를 상,하로 나눴을까요?상부에는 간, 쓸개, 췌장, 비장, 신장이라는 장기가 위치해…